Retina Specialist in Northern Virginia, Southern Maryland, and Washington, D.C.
Email: info@dralisalman.com

Conditions Treated

We care for patients with retinal disease, macular disorders, and vitreoretinal conditions using advanced imaging and modern treatment options.

Fundus photograph showing advanced age-related macular degeneration.

Macular Degeneration

Age-related macular degeneration can impact central vision and requires careful monitoring.

Learn more
Fundus photograph showing diabetic retinopathy changes.

Diabetic Retinopathy

Diabetes can damage retinal blood vessels and cause vision loss without prompt treatment.

Learn more
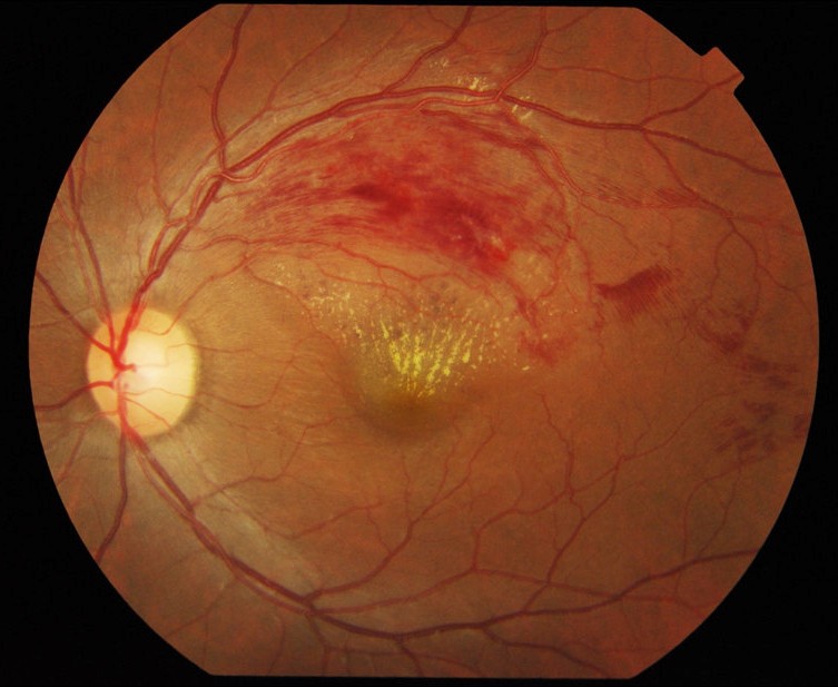
Fundus photograph of branch retinal vein occlusion.

Retinal Vascular Disease

Retinal vein and artery occlusions require urgent evaluation to preserve vision.

Learn more
Retinal detachment clinical photograph.

Retinal Detachment

A detached retina is a medical emergency that often requires urgent surgery.

Learn more
Optical coherence tomography image of a macular hole.

Macular Hole

Macular holes can cause central blur and distortion; surgery can restore vision.

Learn more
Optical coherence tomography image of epiretinal membrane and vitreomacular traction.

Epiretinal Membrane

Scar tissue on the macula can distort vision and may require a delicate peel surgery.

Learn more
Image Credits
  • Macular degeneration: National Eye Institute (NIH), public domain. Source
  • Diabetic retinopathy: National Eye Institute (NIH), public domain. Source
  • Retinal vascular disease (branch retinal vein occlusion): Ku C Yong, Tan A Kah, Yeap T Ghee, Lim C Siang, Mae-Lynn C Bastion (UKMMC/UNIMAS). Source, CC BY 2.0
  • Retinal detachment: National Eye Institute (NIH), public domain. Source
  • Macular hole OCT: Hanay. Source, CC BY-SA 3.0
  • Epiretinal membrane OCT: Jmarchn. Source, CC BY-SA 3.0

Our Approach

We deliver individualized care plans, from observation to in-office procedures and advanced surgical solutions. Each patient receives a thorough review of imaging and clear next steps.